с 3 по 14 ноября 2025 года.
в бизнес-тур в Австралию
Приглашаем
3–14
ноября
Из осени – в лето!
Первый российский производитель оборудования и расходных материалов, зарегистрированных для проведения аутоплазмотерапии
PRGF-терапия аутоплазмой в стоматологии и имплантологии ускоряет лечебный эффект втрое
Создание регенеративного комплекса MeaPlasma стало настоящим прорывом в стоматологии для ускорения регенерации тканей после гингиво-, вестибуло- и остеопластики
PRGF-терапия аутоплазмой
в стоматологии и имплантологии
Золотой стандарт аутоплазмотерапии
Выгодно, надежно и безопасно. Для тех, кто дорожит своей репутацией и здоровьем пациентов.
Набор стерильных изделий MeaPlasma для процедуры регенерации ткани, тромбоцитарная фракция
Уменьшение подвижности зубов
Увеличение длительности ремиссии заболеваний пародонта
Ускорение регенерации тканей при гингиво-, вестибуло- и остеопластике
Сокращение периода реабилитации после челюстно-лицевых операций
Снижение риска отторжения имплантов
Снятие воспаления
Профилактика заболеваний пародонта
Устранение кровоточивости
Клинический эффект,
Локализованный пародонтит
Профилактика заболевания пародонта
Гингивит
Операции удаления зубов
Периимплантит
Операции имплантации
Генерализованный пародонтит
Показания
который отмечают стоматологи, работающие с MeaPlasma
для проведения процедуры MeaPlasma
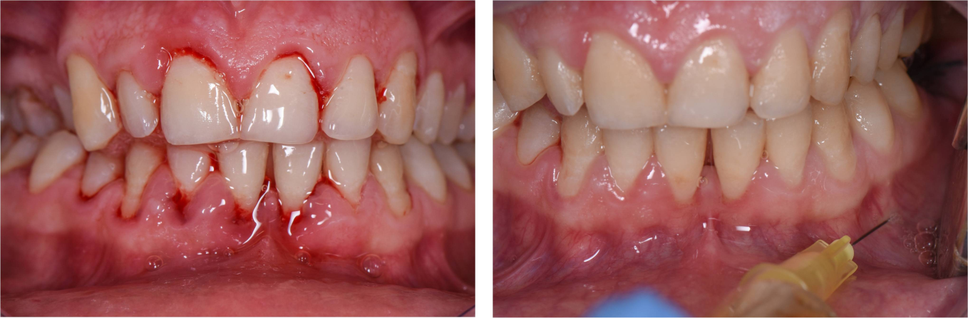
До и после: здоровье десен и восстановление тканей
Результаты лечения с использованием MeaPlasma
Площадь введения
1 пробирка / 6-8 зубов
Длительность эффекта
8-16 месяцев
Первые результаты
через 2-3 дня
Интервал введения
через 2-3 дня
Количество процедур
1-3 процедуры
MeaPlasma в стоматологии:
После
До
Представляет собой плазму крови, с числом тромбоцитов выше нормального показателя, но при этом обогащенную тромбоцитарными факторами роста.
PRGF – Plasma Rich in Growth Factors (от англ. плазма, обогащенная факторами роста)
Функции PRGF
Привлечение макрофагов (стимуляция процессов асептического воспаления)
Усиление местного иммунитета через продукцию сигнальных белков (факторов роста, цитокинов)
Активация фибробластов
Стимуляция синтеза коллагена III типа, гиалуроновой кислоты и эластина
Образование молодой соединительной ткани
Уменьшение воспаления и сроков регенерации тканей
Защитная
Регенераторная
Противовоспалительная
Увеличение проницаемости капилляров на местном уровне
Улучшение миграции клеток в ткани
Высвобождение серотонина и гистамина из тромбоцитарных гранул
Высвобождение цитокинов (IL-1, IL-6, IL-8)
Противомикробная активность
Взаимодействие с макрофагами (фагоцитоз поврежденной ткани, укорочение периода регенерации и эпителизации тканей)
Стимуляция ангиогенеза
Противовоспали-тельная
MeaPlasma для достижения регенеративного и лечебного эффекта
Минимум оборудования – максимум возможностей: получайте аутоплазму и MeaFiller прямо в кабинете с помощью пробирок MeaPlasma, центрифуги и термостата.
3100 оборотов/мин в течение 10 минут
Центрифуга MeaPlasma Premium Compact
После центрифугирования вы получите аутоплазму с высоким содержанием тромбоцитарных факторов роста, белков, витаминов и гормонов, без которых не бывает нормальной работы суставов.
Как получить аутоплазму PRGF?
При наличии центрифуги и пробирок MeaPlasma на получение собственной тромбоцитарной плазмы уйдет 10 минут.
Для технологии MeaPlasma важен режим центрифугирования, а не модель центрифуги
MeaFiller для ускорения регенерации тканей при гингиво-, вестибуло- и остеопластике
MeaFiller – это аутологичный имплант, приготовленный из собственной плазмы человека.
Возможность подобрать плотность филлера под пациента.
Альтернатива гиалуроновой кислоте.
Отлично сочетается с плазмой PRGF.
Легкое производство – всего 10 минут.
Биосовместимый и потому без аллергических реакций.
Эндогенный филлер.
Как приготовить MeaFiller
Для изготовления эндогенного филлера потребуется плазма пациента, набранная в пробирки MeaPlasma и отцентрифугированная, термостат и шприцы луер лок на 2 мл.
Термостат Meaplasma
Настоящая пробирка для PRGF IN VIVO
Медицинский композит специального назначения
Стерилизованная радиационным способом пробирка
Антикоагулянт высокоочищенный
низкомолекулярный эноксапарин
Специальный гель биополимерное тиксотропное вещество японского производства), выдерживающий стерилизацию
Есть фильтр от ультрафиолетового излучения
В комплект входит пробирка, специальный холдер и игла для забора крови
Есть регистрационное удостоверение
N РЗН 2022/18579 с указанием назначения: для аутоплазмотерапии в ортопедии (см. инструкцию по применению)
Наборы MeaPlasma
Холдер (луер-лок) с безопасным колпачком (safe technology)
Игла стерильная, двусторонняя, трубчатая для забора крови 22G
Пробирка вакуумная стерильная с разделительным гелем и антикоагулянтом IN VIVO (эноксапарин) на 9 мл крови
на пробирках MeaPlasma ускоряет лечебный эффект втрое
Готовы внедрить методику или усилить результаты?
А если только планируете внедрение – мы поможем с первыми шагами, обучением и выбором оборудования.
Если вы уже применяете аутоплазмотерапию в стоматологии и имплантологии – пора перейти на новый уровень эффективности с сертифицированными пробирками MeaPlasma.
Аутоплазмотерапия
Свяжитесь с дистрибьютором в вашем регионе или пишите/звоните напрямую в наш центральный офис:
Задайте любой волнующий вас вопрос и вам ответит разработчик технологии MeaPlasma Александр Булат
Врач эстетической медицины, специалист по регенеративной медицине. Главный научный консультант и разработчик технологии MeaPlasma